048-473-1001受付時間10:30〜20:00
お電話 ご予約

インプラント

インプラント

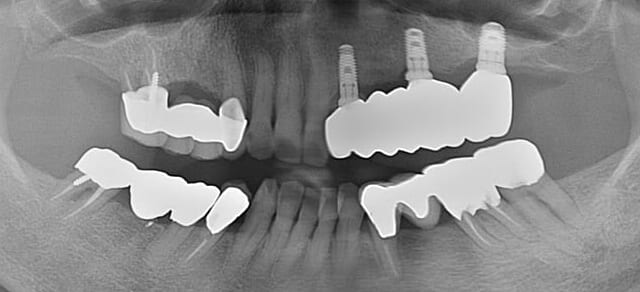
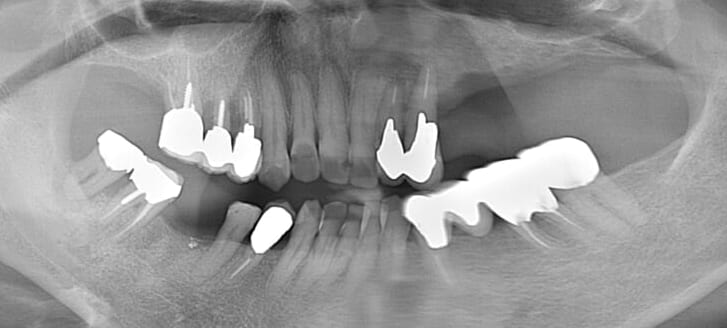
治療前

治療後 ※治療箇所は、画像右上

コメント

左上(画像では右上)のブリッジが割れて歯の保存が難しく、インプラントが出来ないと入れ歯になってしまう状況でした。
他院ではインプラントが難しいと言われてしまったと当院に相談に来られました。
インプラントを6本入れるのではなく、インプラント3本(土台)の上に上部構造としてセラミックの歯(5本)をブリッジにする、インプラントブリッジをご提案しました。
CT撮影と精密なシミュレーションにより、インプラント治療は問題なく終わり、痛みや腫れもほとんどなく大変喜んでいただきました。
また「治療後何年経っても自分の歯のように硬いものでも何でも噛める。インプラント治療をして本当に良かった!」というお声もいただいています。

年代

70代

性別

女性

治療期間

主な治療回数:4回(治療期間:6か月)

主訴

他院ではインプラントが難しいと言われてしまったが、インプラントが可能か診てもらいたい。

治療のリスクについて

上顎のインプラントのため、下顎に比べ治療期間が長くなります。
治療後も他の歯と同様にメンテナンスのクリーニングが必要です。
インプラントは外科治療になるので、治療後に一時的な腫れや痛みが出る可能性があります。

費用

【インプラント治療】
総額:1,562,000円(税込)

※内訳※
・インプラント相談:無料
・検査/シミュレーション/サージカルガイド:77,000円 
・インプラント(土台)3本:220,000円 × 3本
・セラミックブリッジ(上部構造)5本:165,000円 × 5本

症例CASE

診療予約は下記より
お気軽にお問い合わせください。

048-473-1001 受付時間 10:30〜〜20:00
TOPへ戻る